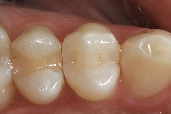
Anterior matrices often include retainerless materials, such as tapes, that are transparent to facilitate light curing. The interproximal surface was recreated with a natural anatomic contour, and an elliptical contact with the adjacent tooth was predictably made.
Which Matrix System Is Used With Posterior Composite Restorations. Spindle the component of the universal matrix retainer that holds the matrix band securely in the device is the : The matrix is placed between the teeth before etching and priming of the tooth to protect adjacent teeth from these materials. An excellent matrix system is critical for the clinical success of a class ii composite restoration. The good news is that making the customized matrix is rather quick, and you most likely already have what you need to do it.
Pdf) Choice Of Matrix System For Direct Posterior Composites By The Dentists In Lahore From researchgate.net
Related Post Pdf) Choice Of Matrix System For Direct Posterior Composites By The Dentists In Lahore :
What’s the goal of a matrix system? To investigate the influence of cavity preparation (mo/do/mod) and type of matrix system on proximal contact tightness of direct posterior composite restorations. Advanced matrix systems, which enable a more predictable class ii composite restoration, consist of a sturdy ring clamp that helps to. A clear plastic matrix celluloid strip mylar strip is a type of matrix system used with anterior composite resin or glass ionomer materials no retainer is needed serve 3 purposes:
The interproximal surface was recreated with a natural anatomic contour, and an elliptical contact with the adjacent tooth was predictably made.
To investigate the influence of cavity preparation (mo/do/mod) and type of matrix system on proximal contact tightness of direct posterior composite restorations. Give the most common type of matrix system used for posterior restorations. The system that is used with posterior composite restorations is the : What is the purpose of a matrix system? Group 1 was treated with a sectional matrix. Since class ii posterior composite resin restorations placed with a combination of sectional matrices and separation rings result in the strongest contacts, 43,44 and since the use of a contoured matrix results in a stronger marginal ridge45.
Source: yumpu.com
The sectional matrix is the best way to achieve a strong contact point in class ii restorations with composite resin in the posterior dental sector. For class ii (mod) restoration. Spindle the component of the universal matrix retainer that holds the matrix band securely in the device is the :
Source: dentistrytoday.com
Of course, sectional systems are mainly intended for posterior restorations. Dental restoration, permanent / instrumentation* dental restoration, permanent / methods equipment design humans matrix bands* Since class ii posterior composite resin restorations placed with a combination of sectional matrices and separation rings result in the strongest contacts, 43,44 and since the use of a contoured matrix results in a stronger marginal ridge45.
Source: researchgate.net
Since class ii posterior composite resin restorations placed with a combination of sectional matrices and separation rings result in the strongest contacts, 43,44 and since the use of a contoured matrix results in a stronger marginal ridge45. Advanced matrix systems, which enable a more predictable class ii composite restoration, consist of a sturdy ring clamp that helps to. An excellent matrix system is critical for the clinical success of a class ii composite restoration.
Source: semanticscholar.org
The interproximal surface was recreated with a natural anatomic contour, and an elliptical contact with the adjacent tooth was predictably made. 92 completed questionnaires were returned. Which of the following dental instruments is used to contour an anterior matrix band?
Source: aegisdentalnetwork.com
The plastic matrix strip is the most effective sort of matrix band to make use of for posterior composite restorations. Which matrix system is used with posterior composite restorations? What is the purpose of a matrix system?
Source: aegisdentalnetwork.com
Among the sectional matrix systems, 54% of egyptian dentists mainly used matrix systems manufactured by tor vm. Universal retainer and matrix band. Author p j van der vyver 1 affiliation 1 division of dental materials, faculty of dentistry, university of pretoria.
Source: researchgate.net
An excellent matrix system is critical for the clinical success of a class ii composite restoration. The interproximal surface was recreated with a natural anatomic contour, and an elliptical contact with the adjacent tooth was predictably made. Anterior teeth do not have occlusal surfaces or proximal boxes, but rather incisal edges.
Source: researchgate.net
Which of the following dental instruments is used to contour an anterior matrix band? Closing comments a technique has been described utilizing a sectional matrix system and an associated armamentarium and a universal composite to create anatomically precise class ii posterior composite restorations. The use of sectional matrix systems in class ii direct composite restorations.
Source: dmg-connect.com
A matrix is essential for these restorations because at least 1 inter proximal wall of the tooth has been removed. Dental restoration, permanent / instrumentation* dental restoration, permanent / methods equipment design humans matrix bands* Spindle the component of the universal matrix retainer that holds the matrix band securely in the device is the :
Source: semanticscholar.org
Composite matrix bands have varying thickness, width, size, and contour, and can allow you to work more quickly and effectively. Dental restoration, permanent / instrumentation* dental restoration, permanent / methods equipment design humans matrix bands* The sectional matrix is the best way to achieve a strong contact point in class ii restorations with composite resin in the posterior dental sector.
Source: styleitaliano.org
One thing that can be done to help make posterior composites a little easier and more enjoyable is to use a customized posterior matrix. The interproximal surface was recreated with a natural anatomic contour, and an elliptical contact with the adjacent tooth was predictably made. One thing that can be done to help make posterior composites a little easier and more enjoyable is to use a customized posterior matrix.
Source: researchgate.net
An excellent matrix system is critical for the clinical success of a class ii composite restoration. Spindle the component of the universal matrix retainer that holds the matrix band securely in the device is the : The use of sectional matrix systems in class ii direct composite restorations.
Source: researchgate.net
92 completed questionnaires were returned. The plastic matrix strip is the most effective sort of matrix band to make use of for posterior composite restorations. Anterior matrices often include retainerless materials, such as tapes, that are transparent to facilitate light curing.
Source: dentistrytoday.com
Universal retainer and matrix band. Universal retainer and matrix band. The plastic matrix strip is the best type of matrix band to use for posterior composite restorations.
Source: dentistrytoday.com
What’s the goal of a matrix system? Anterior matrices often include retainerless materials, such as tapes, that are transparent to facilitate light curing. For class ii (mod) restoration.
Source: dentistrytoday.com
Spindle the component of the universal matrix retainer that holds the matrix band securely in the device is the : Which matrix system is used with posterior composite restorations? The matrix is placed between the teeth before etching and priming of the tooth to protect adjacent teeth from these materials.
Source: speareducation.com
92 completed questionnaires were returned. The matrix is placed between the teeth before etching and priming of the tooth to protect adjacent teeth from these materials. One thing that can be done to help make posterior composites a little easier and more enjoyable is to use a customized posterior matrix.
Source: researchgate.net
Anterior teeth do not have occlusal surfaces or proximal boxes, but rather incisal edges. What is the purpose of a matrix system? Give the most common type of matrix system used for posterior restorations.
Source: nature.com
Advanced matrix systems, which enable a more predictable class ii composite restoration, consist of a sturdy ring clamp that helps to. Matrix system designed to determine a short lived interproximal wall for the restoration of a tooth floor with out the usage of a retainer. Which matrix system used for class ii posterior restorations is the most common?
Source: semanticscholar.org
The sectional matrix is the best way to achieve a strong contact point in class ii restorations with composite resin in the posterior dental sector. For class ii (mod) restoration. Group 1 was treated with a sectional matrix.
Also Read :




